Implanty stomatologiczne to nowoczesna, jednak sprawdzona od lat i popularna forma uzupełniania braków zębowych, w taki sposób, aby uśmiech wyglądał naturalnie. Rozwiązanie to, pomaga przywrócić pacjentom estetyczny, zdrowy uśmiech i prawidłową funkcję układu stomatognatycznego.
Implanty w niezwykle zbliżony sposób odwzorowują ząb naturalny, co przyczynia się do zwiększenia estetyki uśmiechu i przywrócenia pełnej wydolności żucia i spożywania pokarmów. W naszych gabinetach w Warszawie wykonujemy implanty stomatologiczne przy użyciu sprawdzonych technologii, korzystając tylko z najlepszych dostępnych materiałów i komponentów.
Umówić możesz się chociażby teraz, jesteśmy dostępni dla Was pod telefonem.
Skontaktuj się z Nami jeżeli masz jakiekolwiek pytania.

Konsultacja - analiza warunków w miejscu brakującego zęba

Zabieg wszczepienia implantu

Augmentacja kości w przypadku obecności zaniku

Odsłonięcie implantu po okresie gojenia (około 3 miesiące od wszczepienia implantu)

Zamocowanie korony protetycznej

Funkcjonujące uzupełnienie implantoprotetyczne
Pozostawienie braku zębowego nie jest jedynie defektem estetycznym. Każdy nieuzupełniony brak międzyzębowy prowadzi do powolnej, lecz stale postępującej destrukcji narządu żucia. Pierwszymi objawami są zaburzenia płaszczyzny zwarcia, wysuwanie się sąsiadujących zębów z dziąsła, zmiana ich położenia czy obnażenie korzeni. W perspektywie czasu zmiany te nieuchronnie prowadzą do powstania przeciążeń zwarciowych, a nawet utraty zębów. Utrata zębów powoduje obniżenie wysokości zwarcia, a co za tym idzie zaburzenie wyglądu twarzy
W naszych gabinetach w Warszawie wykonujemy implanty zębowe po przeprowadzeniu szczegółowej konsultacji z pacjentem. Lekarz zbiera niezbędne informacje, potrzebne do wykluczenia ewentualnych przeciwwskazań, a następnie proponuje najlepsze rozwiązanie i rodzaj implantu. Zabieg przeprowadzany jest przez wykwalifikowanych implantologów, którzy zapewniają pełne wsparcie na każdym etapie leczenia. Bardzo ważne jest, aby po wszczepieniu implantu przestrzegać zaleceń lekarza i pamiętać o systematycznych wizytach kontrolnych.
Implanty stomatologiczne to małe, cylindryczne elementy wykonane najczęściej z tytanu – materiału, który jest w pełni biokompatybilny i bardzo dobrze tolerowany przez organizm. Tytan, dzięki swoim właściwościom, szybko integruje się z kością w procesie osteointegracji, co sprawia, że implant jest stabilny i trwały. Wszczepiony implant pełni rolę korzenia brakującego zęba i jest trwałą podstawą dla korony, mostu czy protezy. Zastępując pojedynczy ząb lub pełniąc funkcję podparcia dla pełnego łuku protetycznego, implant działa niemal identycznie jak naturalny ząb, umożliwiając pacjentowi swobodne jedzenie, mówienie oraz wpływając na estetykę uśmiechu.
Utrata zębów powoduje obniżenie wysokości zwarcia, a co za tym idzie zaburzenie wyglądu twarzy, powstanie charakterystycznego profilu starczego.
Przedstawiona oferta cenowa ma charakter informacyjny i nie stanowi oferty handlowej w rozumieniu Art.66 par.1 Kodeksu Cywilnego
W naszych gabinetach w Warszawie wykonujemy m.in.:
Pozostawienie luki po zębie nigdy nie jest obojętne. Skutki braku mogą obejmować:
Implanty zębowe zatrzymują postęp tych zmian i przywracają prawidłową funkcję całego układu stomatognatycznego.
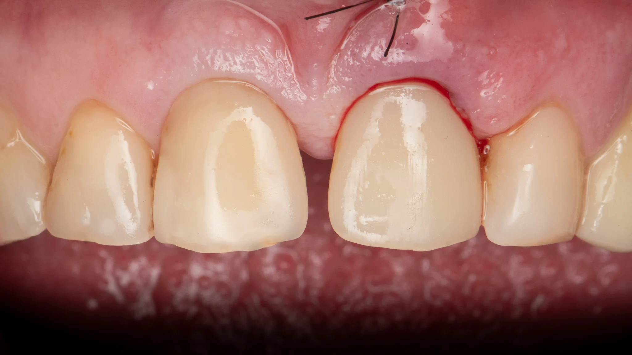
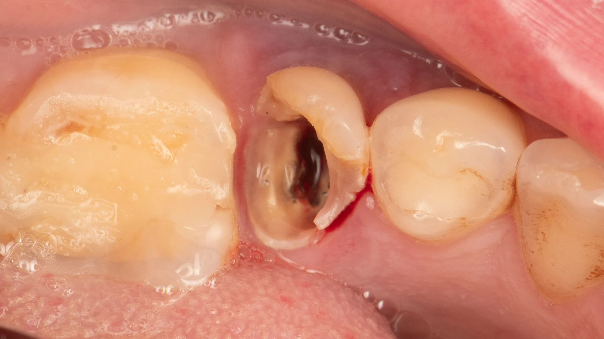
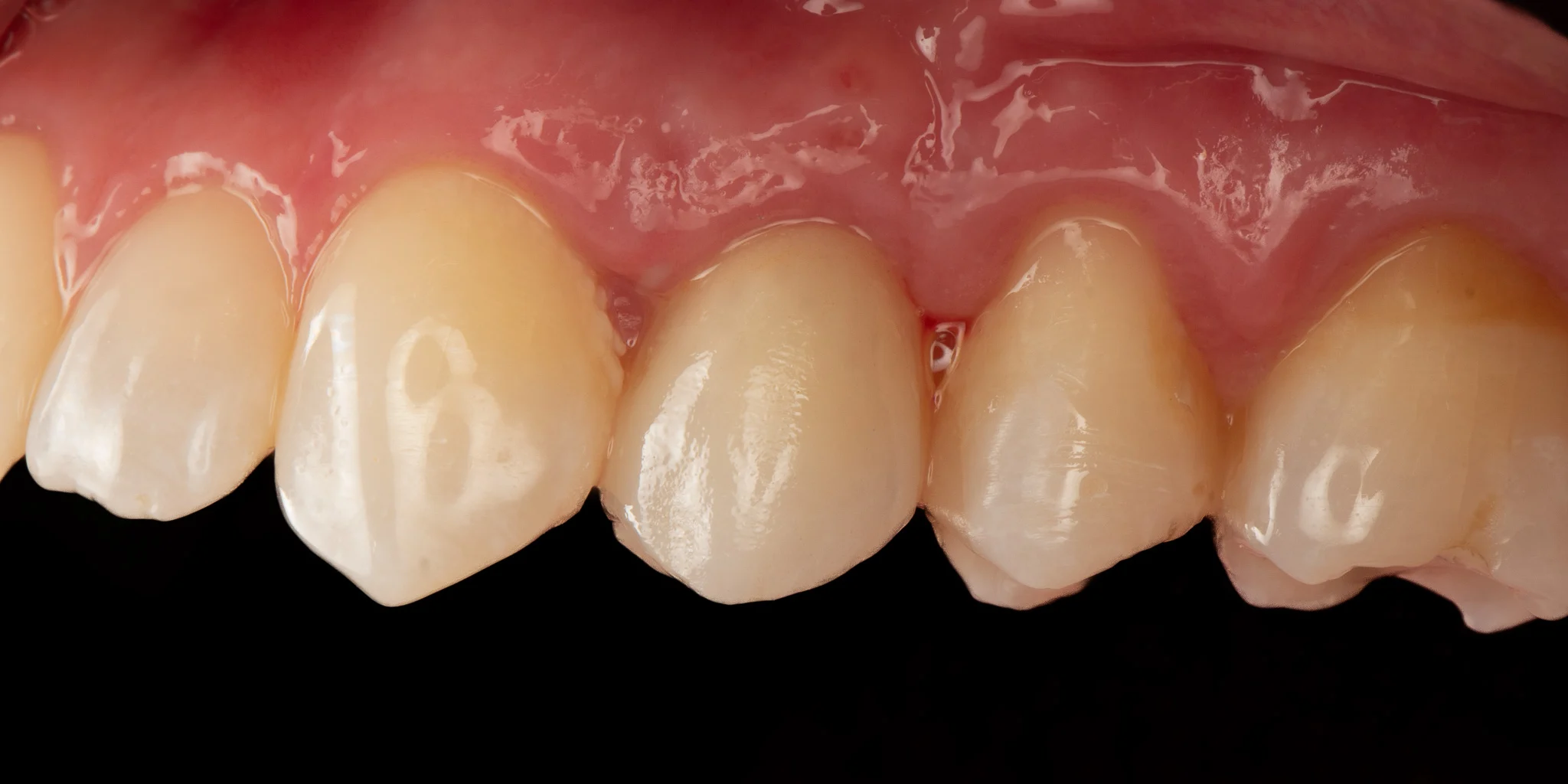
Pacjent zgłosił się podając brak zęba czwartego, co stanowiło dla pacjenta defekt estetyczny jak i funkcjonalny.
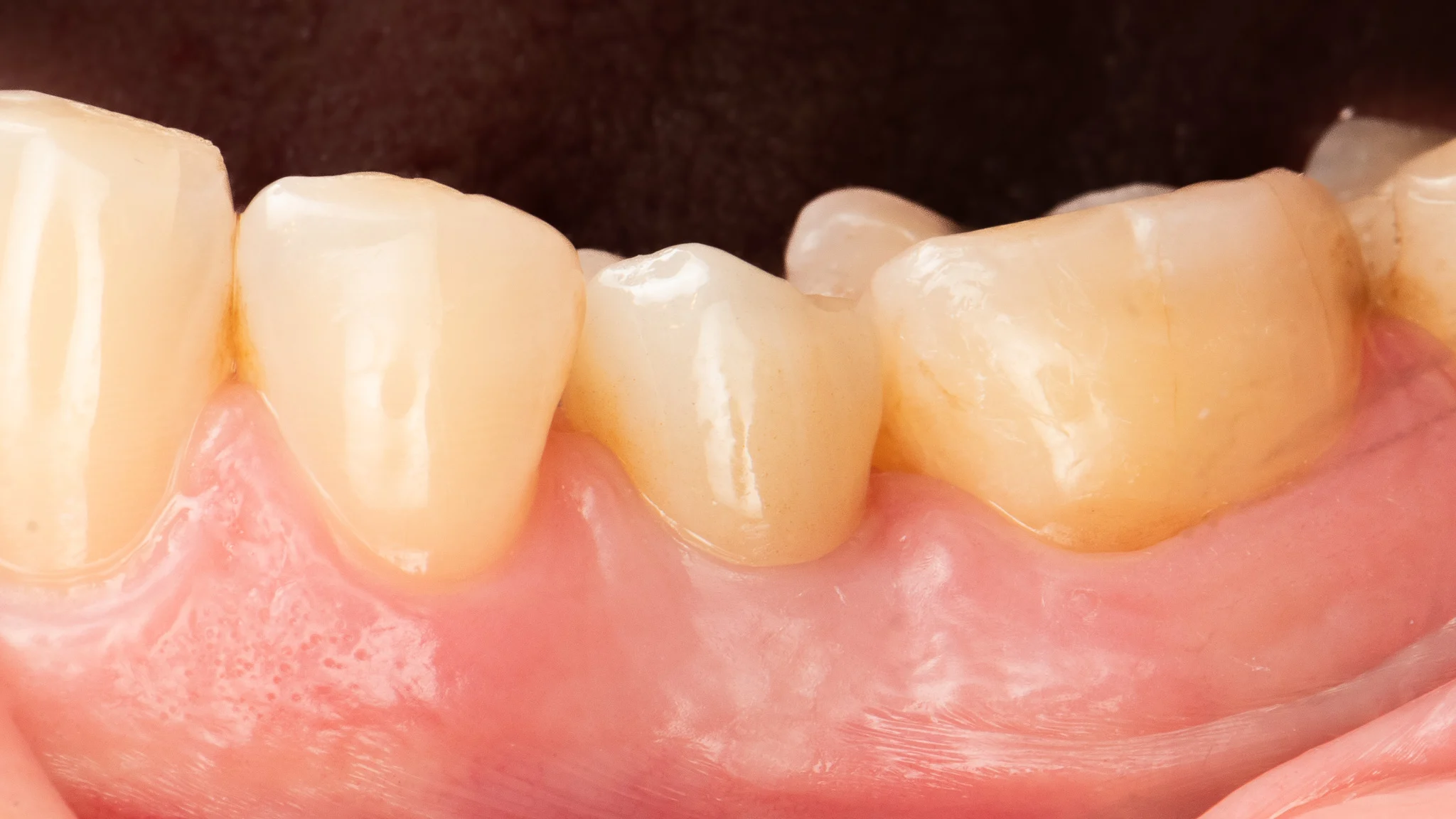
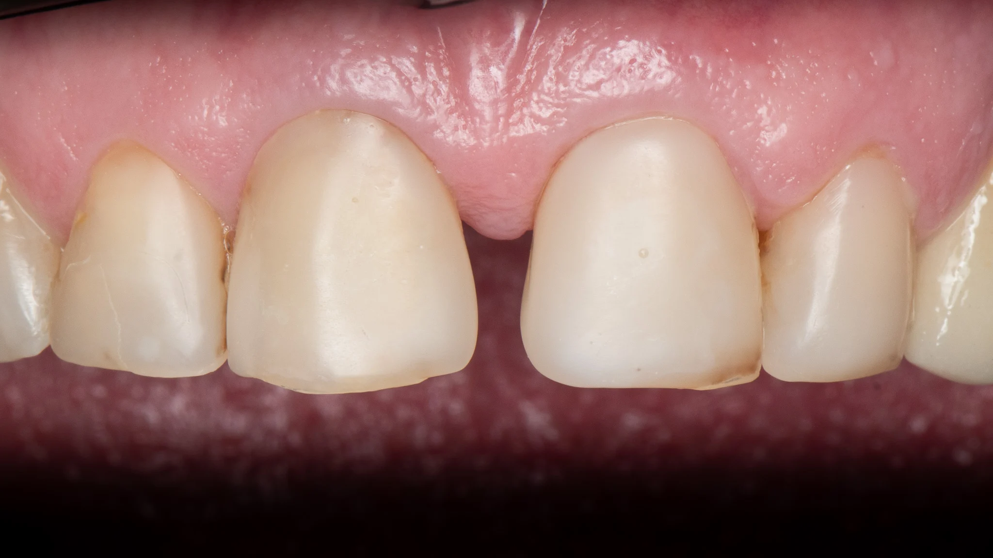
Z uwagi na długi czas, który upłyną od usunięcia zęba, zaplanowane leczenie obejmowało wszczepienie implantu stomatologicznego jak i rekonstrukcję kości wyrostka zębodołowego szczęki wraz z augmentacją dziąsła. Po okresie gojenia zamocowano koronę pełnoceramiczną.
lek. dent. Stanisław Pawlak
Wykonujemy zabiegi w znieczuleniu miejscowym np. takie jak ekstrakcje zębów.
Pomaga w utrzymaniu zdrowia jamy ustnej, zapobiegając wielu chorobom, w tym próchnicy.
Opublikowano na ElaTrustindex sprawdza, czy pierwotnym źródłem recenzji jest Google. Wizyta przebiega bezboleśnie. Ceny umiarkowane . Mogę szczerze polecić to miejsce.Opublikowano na DariaTrustindex sprawdza, czy pierwotnym źródłem recenzji jest Google. polecamOpublikowano na Elzbieta SkoczylasTrustindex sprawdza, czy pierwotnym źródłem recenzji jest Google. Profesjonalna pomoc, cierpliwość i super podejście do pacjenta. Jeśli ktoś boi się dentysty lub potrzebuje bardzo fachowej opieki to gorąco polecam.Opublikowano na Grzegorz ZimnyTrustindex sprawdza, czy pierwotnym źródłem recenzji jest Google. Bardzo kompetentna i rzetelna obsługa. Podejście indywidualne i zorientowane na potrzeby pacjenta. Obsługa na najwyższym poziomie jakości.Opublikowano na Anna MakarewiczTrustindex sprawdza, czy pierwotnym źródłem recenzji jest Google. Jestem bardzo zadowolona z dzisiejszej wizyty. Wszystko przebiegło bezproblemowo i w miłej atmosferze. Bardzo polecam, w szczególności wizytę u Pani Doktor Anny Wilk.Opublikowano na dzikusTrustindex sprawdza, czy pierwotnym źródłem recenzji jest Google. Dziekuje za pomoc, urlop uratowany 😎😉Opublikowano na itwasverytastyTrustindex sprawdza, czy pierwotnym źródłem recenzji jest Google. Mega profesjonalny gabinet i "obsługa". Grane tu już było kanałowe, zachowawcze, a dzisiaj awaryjna naprawa ukruszonego zęba. Udało się umówić po godzinach pracy gabinetu, za co wielka wdzięczność. Sztos. Polecam Pana Doktora Stanisława każdemu, kto akurat z tego czy innego powodu do dentysty musi.
Zapraszamy do kontaktu lub wizyty w naszych gabinetach.